
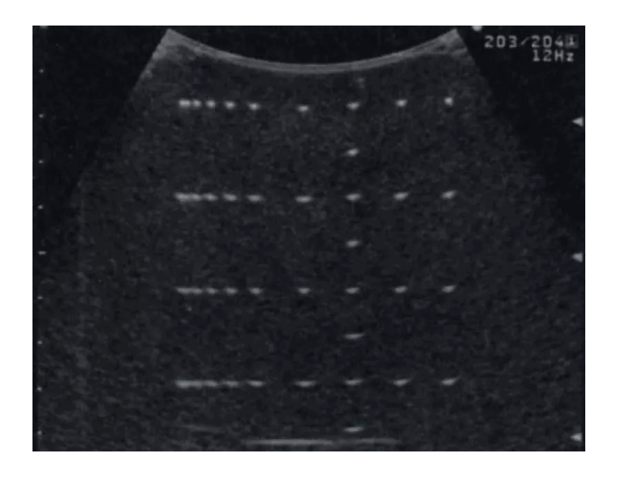
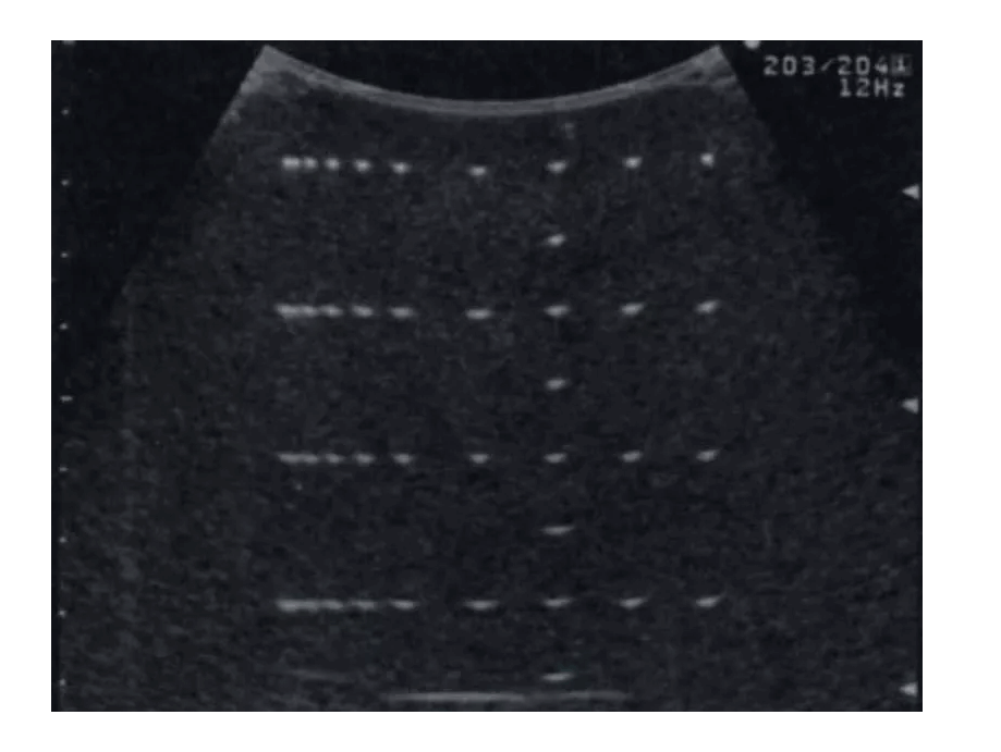
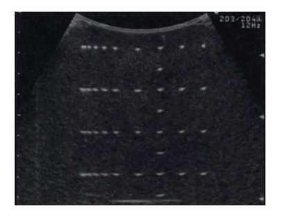
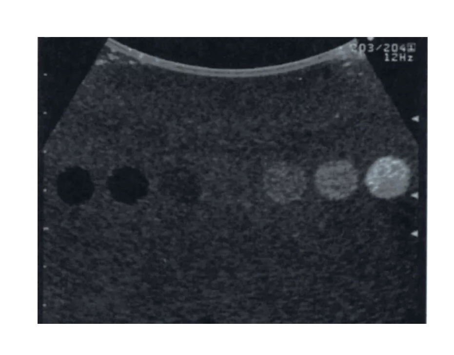
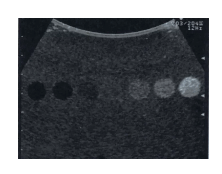
Das Vielzweck-Phantom ist ein vielseitiges Trainings- und Testinstrument, das speziell für die tägliche Wartung von Ultraschall-Geräten und weitergehende Tests entwickelt wurde. Es enthält eine Vielzahl von Zielstrukturen, darunter 10 Linienziele unterschiedlicher Größe, 4 nicht echogene Ziele in Zylinderform und 7 verschiedene Graustufenziele. Dieses Phantom ermöglicht eine präzise Prüfung und Kalibrierung von Ultraschallgeräten und bietet eine realistische Umgebung für die Ausbildung und Qualitätssicherung in der Ultraschalltechnik.
Anwendungsbereiche:
-
Tägliche Wartung und Kalibrierung von Ultraschall-Geräten
-
Durchführung weitergehender Tests zur Überprüfung der Ultraschallbildqualität
-
Ausbildung und Schulung von medizinischen Fachkräften im Umgang mit Ultraschall-Technologie
-
Qualitätssicherung in der Ultraschalldiagnostik
-
Verwendung in Forschungs- und Entwicklungseinrichtungen zur Verbesserung der Ultraschalltechnologie
Vorteile auf einen Blick:
-
Umfasst 10 Linienziele unterschiedlicher Größe für präzise Ultraschallmessungen
-
4 nicht echogene Zylinderziele für die Prüfung der Bildqualität und -differenzierung
-
7 Graustufenziele für die Bewertung der Bildauflösung und Kontrasterkennung
-
Ideal für die tägliche Wartung und Kalibrierung von Ultraschall-Geräten
-
Praktisches Trainingswerkzeug für die Schulung von medizinischem Personal und Technikern
-
Kompakte Größe (19 x 22 x 7 cm) für einfache Handhabung und Lagerung
Weitere Informationen:
-
Das Phantom ist speziell für den Einsatz in der Ultraschalltechnik konzipiert und unterstützt Fachkräfte bei der präzisen Kalibrierung und Wartung von Geräten.
-
Es ermöglicht eine detaillierte Überprüfung der Ultraschallbildqualität, einschließlich der Genauigkeit der Messungen und der Kontrastwahrnehmung.
Lagerung:
Das Phantom sollte an einem trockenen, kühlen Ort aufbewahrt werden, um die Materialqualität und Funktionalität zu erhalten. Direkte Sonneneinstrahlung und extreme Temperaturen sollten vermieden werden.
Hersteller:
Tel:
E-Mail:
Ust-IdNr.:
- - - - - - - - - - - - - - - - - - - - - - - - - - - - - - - - - - - - - - -
Lieferinformationen:
WEEE Nummer:
Hilfsmittelnummer: